Setting Industry Standards to Build a First-Class Hospital

The incidence of breast cancer ranks first among malignant tumors in women, with the number of cases increasing year by year and a trend towards younger patients.

After breast cancer patients undergo mastectomy, they often require adjuvant radiotherapy to improve survival rates and local control rates. Among the postoperative adjuvant radiotherapy plans, X-ray-based intensity-modulated radiotherapy technology is widely used.
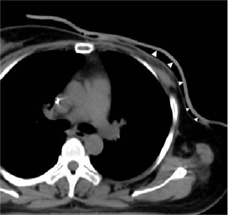
Due to the high-risk recurrence area of the chest wall skin and subcutaneous tissue after mastectomy, and the dose build-up effect of X-rays on the skin surface, this effect can lead to insufficient surface dose. Therefore, it is necessary to add tissue compensators on the skin surface to shift the dose build-up region upward, increasing the surface dose.
The Radiotherapy Department of Binzhou People’s Hospital and the Breast Center have successfully applied 3D printing technology in postoperative radiotherapy for breast cancer, providing patients with personalized and precise treatment plans. Through 3D printing technology, doctors can customize radiotherapy molds based on the patient’s specific condition and physical status, ensuring that the radiotherapy beams accurately target the tumor while maximizing protection of surrounding healthy tissues, significantly enhancing treatment effectiveness.
Conventional Bolus
VS
3D Printed Bolus
Conventional Bolus
3D Printed Bolus
Compared to the commonly used generic equivalent membranes in clinical practice, the personalized tissue compensating membranes made with 3D printing technology have significant advantages:
-
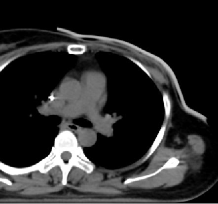
This tissue compensating membrane is made with a 1:1 reproduction based on the patient’s CT positioning data, fitting closely to the skin, increasing positioning reproducibility, and significantly enhancing the precision of radiotherapy.
-
Additionally, the 3D printed tissue compensating membrane has good uniformity, conformity, biological equivalence, and repeatability, ensuring consistency in treatment outcomes.
Conventional Bolus (white △ indicates air gaps)
3D Printed Bolus
This technology is suitable for patients with thin chest walls, uneven surfaces, and breast reconstruction after radical mastectomy for breast cancer. By using 3D printed compensating membranes, more precise radiotherapy dose distribution can be achieved, thereby improving treatment effectiveness and reducing side effects, providing patients with higher quality medical services.

In the future, Binzhou People’s Hospital will continue to explore cutting-edge radiotherapy technologies, integrating more modern technological means to provide patients with precise individualized plans, helping them achieve better therapeutic effects.

Breast Center Phone: 0543-3282218
Radiotherapy Department Phone: 0543-3282112
Binzhou People’s Hospital
Lu Medical Wide [2025] No. 0121-001-3716

Text | Liu Huiling
Editor | Guo Qinghua
Review | Zhao Xinying Liu Hongen
Pay online, make appointments to reduce waiting time, get reports early… Welcome to use Binzhou People’s Hospital’s “Online Hospital” WeChat Mini Program↓↓↓

For more exciting content, please long press the QR code to follow us
