
During the “May Day” holiday, how many people stayed at home to do a thorough cleaning? As the weather gradually warms up, many people take advantage of the clear skies to start organizing their wardrobes and making a “seasonal change”. Recently, Ms. Shen from Hangzhou took advantage of the good weather to rest at home and began her “seasonal project”. Unexpectedly, after organizing her wardrobe, she fell ill, with a maximum temperature of 40°C. Just when everyone thought she was sick from exhaustion, it turned out that her lungs were “moldy”! This was due to neglecting a detail while doing housework. High fever of 40°C, lungs filled with fungal plaques!
As the weather warmed, Ms. Shen from Hangzhou started her “seasonal project” during her rest. However, after organizing her wardrobe, she fell ill. “I felt unwell all over, had a fever, and my temperature reached 40°C, along with a cough.” Therefore, Ms. Shen immediately went to the hospital for treatment.
The doctor learned through questioning that Ms. Shen found mold spots inside her wardrobe while organizing it, so she cleaned it but did not wear a mask during the process.
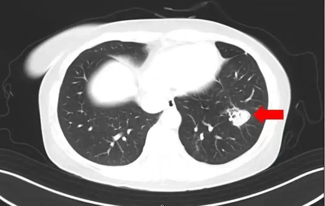
To further diagnose her condition, the doctor performed a fiber bronchoscopy and alveolar lavage fluid pathogen testing, and indeed found a large number of white fungal plaques on the airway walls, which were confirmed to be Aspergillus after testing.
Currently, after antifungal and comprehensive supportive treatment, Ms. Shen’s condition has gradually stabilized, and she has been discharged from the hospital.

Every year, there are many such cases.
According to previous reports, a “post-00s” girl named Ms. Wang (pseudonym) living in Hangzhou exhibited symptoms of cough, fatigue, and fever. After being sent to the hospital for examination, Ms. Wang was diagnosed with fungal pneumonia.
It is understood that Ms. Wang inhaled a lot of impurities and dust while cleaning her old wardrobe, which led to a lung infection.
Coincidentally, Ms. Dai, 63, from Changsha, Hunan, also fell victim to this. According to her, while organizing old books and photos at home, she encountered a large amount of dust mites and mold hidden in those old photos and books. During the process, she also did not take proper precautions, leading to the inhalation of a large amount of dust mites and mold, which subsequently caused a severe allergic reaction, resulting in asthma symptoms and difficulty breathing.
On March 30, 2024, Mr. Wang, 60, from Ningbo, Zhejiang, also experienced chest pain and fever after sweeping a tomb. After diagnosis, the culprit was found to be the impurities and dust inhaled during the tomb-sweeping.
How does Aspergillus “grow” in the lungs?Aspergillus is a type of fungus, classified as a Group 1 carcinogen by the World Health Organization. It is widely present in nature, primarily feeding on dead plants, animal excrement, and corpses. When the human immune system is compromised or weakened, Aspergillus can enter the lungs, causing pulmonary aspergillosis.What are the common symptoms?
Clinically, pulmonary aspergillosis is divided into invasive pulmonary aspergillosis, pulmonary aspergilloma, and tracheobronchial aspergillosis, with common symptoms including: persistent high fever that does not subside, which is difficult to alleviate with conventional antipyretics; worsening cough symptoms accompanied by chest pain and difficulty breathing; brownish or blood-streaked sputum; nasal congestion, purulent nasal discharge, and facial pain symptoms of sinusitis, which can lead to respiratory failure and even threaten life in severe cases.
What to do if you accidentally inhale and have difficulty breathing?
- Immediately leave the environment with Aspergillus and high dust levels;
 
- Change from standing to sitting position and lean forward; this will lower the diaphragm, open the airways, and increase lung capacity;
 
- Use abdominal breathing and try to relieve tension;
 
- Take medication promptly and seek medical attention; those with a history of bronchial asthma are advised to carry emergency medication.
 
Mold loves to hide in these 5 places, check quickly!Mold is very common in daily life, often in corners we do not pay attention to, such as wall corners, kitchen sinks and countertops, inside refrigerators, washing machines, air conditioners, carpets, etc. Be sure to pay attention to these places in your home!Bathroom and Shower RoomKey areas include the corners of the bathroom, tile seams, faucets, shower curtains, and bathroom sealant.
- It is recommended to install and use exhaust fans;
 
- After showering, rinse the sides of the bathtub and walls with hot water, then rinse again with cold water;
 
- Promptly dry the floor to keep it clean and dry.
 
Refrigerator
Key areas include the refrigerator’s sealing strip, base, and interior. The sealing strip of the refrigerator is prone to breeding chain-like fungi, which can cause inhalation allergies; vegetables with soil placed in the refrigerator can transfer mold from the soil to other food items through air circulation.
- 
It is recommended to clean the refrigerator once a month, paying special attention to wiping the sealing strip;
 
- 
Keep raw and cooked foods separate and avoid overloading the refrigerator.
 
Washing Machine
Forgetting to take out washed clothes in time or closing the lid of the washing machine immediately after use creates a good opportunity for mold to thrive.
- 
It is recommended to regularly clean the inner drum of the washing machine, using a special cleaning agent for disinfection;
 
- 
If possible, perform a professional disassembly cleaning every 3 to 6 months;
 
- 
Clothes should be promptly hung out to dry after washing.
 
Cutting Boards and ChopsticksWooden and bamboo cutting boards and chopsticks are prone to mold in humid environments or when used improperly.
- After cleaning cutting boards, pots, and dishes, it is best to dry them promptly;
 
- After cooking, promptly clean up kitchen waste;
 
- It is best to replace wooden and bamboo chopsticks after six months of use.
 
Bedroom and BalconyMany families grow flowers and dry clothes on the balcony, so the corners of the balcony are prone to mold; if ventilation and drying are not taken care of, bedding and other sleeping items can also easily become moldy.
- For mold in bedding, set the air conditioning to around 25°C and turn on the dehumidification mode;
 
- Frequently air out blankets and ventilate.
 
To deal with mold, do this!
- Appropriate dehumidification: Especially in the south, if you live on a lower floor, it is advisable to have a dehumidifier at home.
 - Regular ventilation: Ensure good ventilation at home, and try to install ventilation equipment in the bathroom.
 
- Regular cleaning: For areas that have already developed mold, regular cleaning is necessary. When cleaning mold-infested areas, wear a mask and take protective measures.
 
- Boost immune system: Engage in physical exercise, maintain adequate sleep, and enhance your immune system.
 
- Pay attention to key places and items: Regularly air out bedding, carpets, clothes, etc.; clean areas prone to mold such as air conditioners, washing machines, and refrigerators in a timely manner; reduce indoor plants in the bedroom; take appropriate precautions during outdoor activities to minimize mold exposure.
 
**If there is any infringement, please contact this public account**
Source | CCTV News, Guangzhou Daily, Guangzhou Radio and Television Station
Editor | Li Yinglin




RecentPopularVideos



