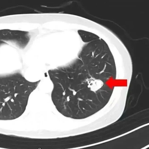
High Fever of 40°C After Spring Cleaning: Beware of Mold in the Lungs!
During the “May Day” holiday, how many people stayed at home to do a thorough cleaning? As the weather gradually warms up, many people take advantage of the clear skies to start organizing their wardrobes and making a “seasonal change”. Recently, Ms. Shen from Hangzhou took advantage of the good weather to rest at home … Read more