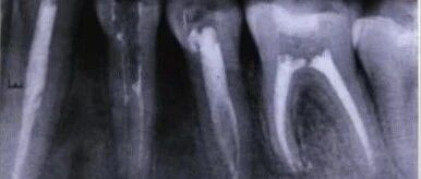
Case Study of C-shaped Root Canal Treatment for the First and Second Premolars in the Left Mandible
Case provided by:Associate Chief Physician Ye Weihua, Tongji Hospital, Tongji Medical College, Huazhong University of Science and Technology 【Patient Basic Information】: Male, 17 years old Main Complaint: Post-operative recovery from left mandible cyst curettage for over 2 months Present Illness: The patient was admitted to our hospital’s oral and maxillofacial surgery ward 2 months ago … Read more